Рідкісний випадок: 15-сантиметрову пухлину печінки видалили рівненські лікарі

11-02-2026 14:06
news-image

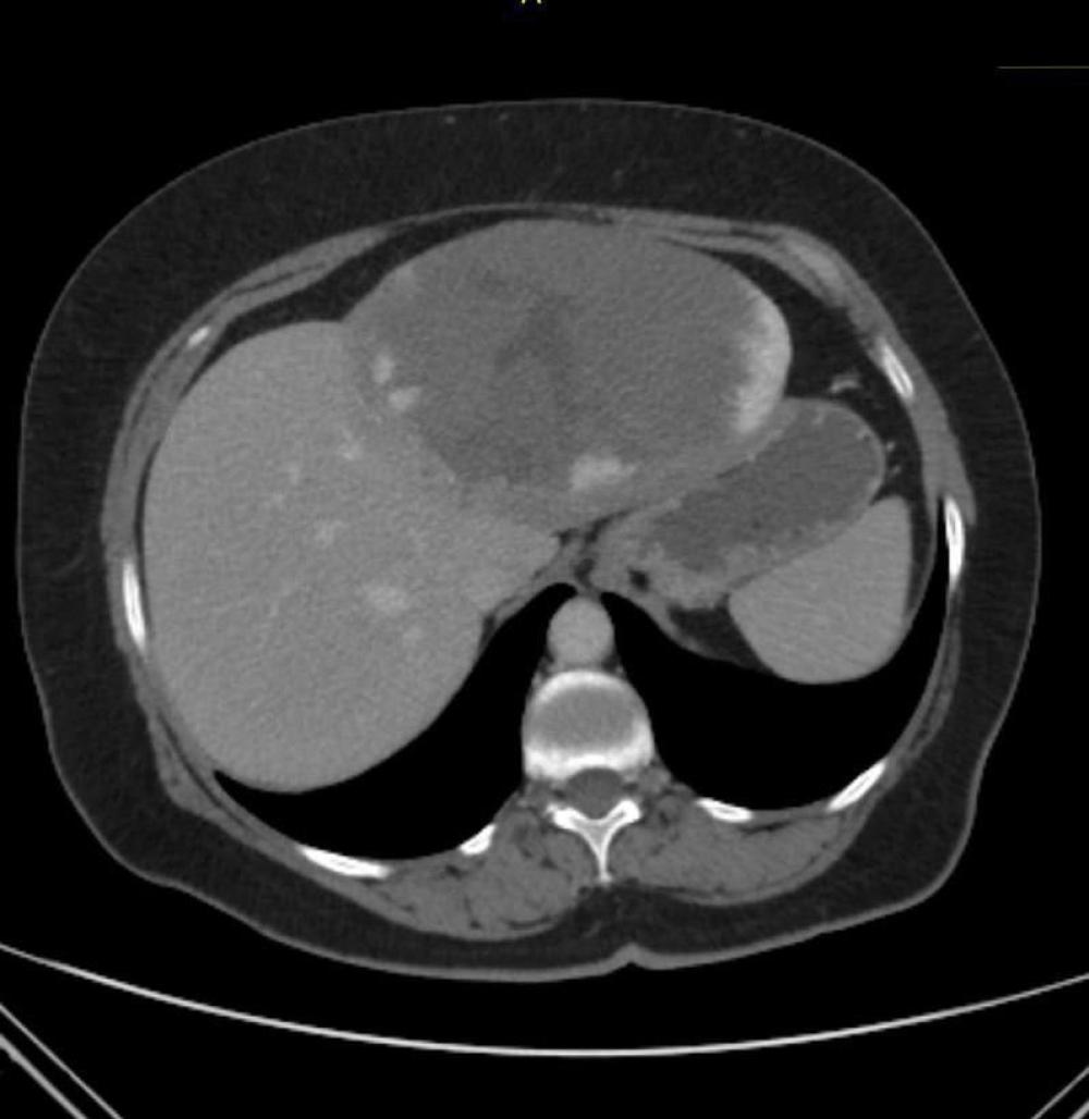
У Рівненському обласному протипухлинному центрі видалили 15-сантиметрову пухлину печінки.

Про це повідомили на сторінці медзакладу у Фейсбук.

Гемангіома печінки – найпоширеніша доброякісна пухлина печінки, її виявляють у 2–20% населення. У більшості випадків немає симптомів і лікувати нічого не треба. 

Відомо, що пацієнтці 64 роки, вона лікувалась у протипухлинному центрі кілька років тому і тепер раз на рік проходить КТ в межах Follow-up. В динаміці гемангіома її печінки збільшилась від 4 до 15 сантиметрів за рік.

Хірурги Маргарита Пісецька, Андрій Валяєв та Павло Рябошапко взялись за справу. Команда провела лапароскопічну операцію, тобто менш травматичну, ніж відкрите втручання із розрізом живота. Усе минуло добре, на шосту добу жінку виписали.
  
 

Источник: ITV